Imagine stepping off a plane, carrying the weight of years spent hiding your smile, only to find yourself walking away with newfound confidence and a radiant grin that feels as natural as your own. For many UK patients, this transformative journey has become a reality in the sun-drenched city of Antalya, where the innovative All-on-Four dental implant technique is rewriting stories of oral health and self-esteem. In this article, we delve into the life-changing experiences of those who chose Antalya as their destination for reclaiming their smiles-uncovering not just the clinical success, but the personal triumphs that accompany every implant placed.
Table of Contents
- Life-Changing Smiles and Personal Transformations
- The All-on-Four Implant Procedure Explained
- Why UK Patients Choose Antalya for Dental Implants
- Essential Tips for Preparing Your All-on-Four Journey
- FAQ
- To Wrap It Up

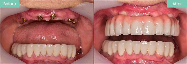
Life-Changing Smiles and Personal Transformations
Patients who have undergone the All-on-Four implant procedure in Antalya often describe their experiences as truly transformative, beyond just dental restoration. The renewed confidence from a radiant, fully functional smile has sparked profound changes in their personal and professional lives. Many UK patients share stories of returning to social activities they had previously avoided, embracing new opportunities at work, and feeling a restored sense of self-worth. These stories highlight not only the technical success of the procedure but also the emotional rejuvenation that accompanies it.
- Improved daily comfort: No more pain or discomfort from loose dentures.
- Enhanced appearance: Natural-looking teeth that complement facial features.
- Boost in confidence: Smiling without hesitation in photos, conversations, and meetings.
- Renewed lifestyle: Enjoying favorite foods and activities with ease and joy.
To better illustrate these transformations, consider the following snapshot of patient outcomes post-procedure:
| Aspect | Pre-Implant Struggles | Post-Implant Benefits |
|---|---|---|
| Speech | Slurred words due to ill-fitting dentures | Clear and confident communication |
| Eating | Restricted diet and discomfort | Wide range of foods enjoyed comfortably |
| Social Interaction | Avoidance of gatherings | Active participation and enjoyment |
| Self-Image | Low self-esteem and hesitation | Vibrant, self-assured presence |

The All-on-Four Implant Procedure Explained
The procedure’s streamlined approach is transforming smiles across borders, notably for many UK patients seeking affordable treatments abroad. Here’s how it works:
- Consultation and Planning: Detailed imaging and 3D scans guide precise implant placement.
- Surgical Placement: Four implants are positioned to support a full dental arch.
- Temporary Prosthesis: Immediate loading allows patients to leave with a fixed, functional smile.
- Final Restoration: After healing, a custom-made final bridge is attached for lasting durability and comfort.
| Step | Duration | Benefit |
|---|---|---|
| Consultation & Planning | 1 Day | Personalized treatment blueprint |
| Implant Surgery | 2-3 Hours | Minimally invasive & precise |
| Temporary Smile | Same Day | Immediate aesthetics & function |
| Final Prosthesis | 3-6 Months | Permanent, natural look and feel |
Why UK Patients Choose Antalya for Dental Implants
Choosing Antalya for dental implants has become a popular decision among UK patients seeking top-quality care combined with affordability. The city offers world-class clinics staffed with highly experienced implantologists who specialize in advanced techniques like All-on-Four implants. Patients often find the personalized treatment plans refreshing, as clinics focus on comfort, precision, and a holistic approach to oral health. Beyond the dental benefits, Antalya’s picturesque surroundings and warm Mediterranean climate provide a calming environment for recovery, turning a necessary medical procedure into an opportunity for relaxation and renewal.
Cost-effectiveness is a significant factor drawing UK patients, yet it is far from the only reason. Many highlight the seamless integration of modern technology with attentive aftercare, ensuring their new smiles last a lifetime. Antalya’s dental services also excel in:
- Shorter waiting times compared to the UK, enabling swift access to treatment.
- Comprehensive packages including airport transfers, accommodation, and consultations.
- Multilingual support ensuring clear communication throughout the process.
| Aspect | UK Clinics | Antalya Clinics |
|---|---|---|
| Average Cost | £7,000 – £10,000 | £2,500 – £4,000 |
| Waiting Time | 3-6 months | 1-2 weeks |
| Aftercare Support | Limited follow-up | Comprehensive local support |

Essential Tips for Preparing Your All-on-Four Journey
Embarking on your All-on-Four implant journey is a transformative experience that deserves careful preparation. Start by scheduling comprehensive consultations to understand the procedure, recovery timeline, and expected outcomes. Communicating openly with your dental team about your medical history and lifestyle ensures tailored care. Remember, adequate oral hygiene before and after treatment is crucial for long-term success, so adopt a diligent dental routine early on.
To ease the transition, consider these practical tips:
- Nutrition planning: Stock up on soft foods like smoothies, soups, and purees to support healing without strain.
- Travel arrangements: If combining treatment with travel to Antalya, align your schedule to include rest days post-procedure.
- Support system: Arrange for a companion or local contact to assist during the initial recovery period.
Below is a simple checklist to keep your preparation on track:
| Preparation Step | Status |
|---|---|
| Medical Consultation | Completed |
| Pre-Op Hygiene | In Progress |
| Soft Food Supplies | Ready |
| Travel & Accommodation | Booked |
| Support Arranged | Confirmed |
FAQ
Q&A: Life-Changing Smiles – UK Patient Stories of All-on-Four Implants in Antalya
Q: What are All-on-Four dental implants?
A: All-on-Four implants are a revolutionary dental procedure designed to replace an entire arch of teeth using just four strategically placed titanium implants. This method offers a stable, durable, and natural-looking solution, often completed in fewer visits compared to traditional implants.
Q: Why are UK patients choosing Antalya for their All-on-Four treatments?
A: Antalya combines expert dental clinics with modern technology and affordable costs. The city’s beautiful coastal setting also allows patients to recover in comfort, turning dental care into a restorative travel experience.
Q: How have All-on-Four implants changed the lives of UK patients?
A: Many patients share stories of renewed confidence, improved speech, and the joy of eating favorite foods again. These implants have not only restored smiles but also revitalized social lives and self-esteem.
Q: What should UK patients expect when considering this treatment in Antalya?
A: Patients typically undergo an initial consultation-often via video call-followed by a focused trip where surgery and placement occur within days. Aftercare is provided remotely or through follow-up visits, making the process efficient and patient-friendly.
Q: Are All-on-Four implants a suitable option for everyone?
A: While highly effective for many, suitability depends on factors like bone density and overall oral health. A thorough assessment by qualified professionals ensures the best personalized treatment plan.
Q: How do UK patients feel about the cost versus quality of All-on-Four treatments in Antalya?
A: Many express satisfaction with the balance of affordable prices and world-class care. The cost savings often mean they can afford a premium procedure that might be prohibitively expensive in the UK.
Q: What makes patient stories from the UK particularly inspiring?
A: These stories often highlight courage-overcoming fear of surgery or years of dental struggles-and the transformative power of a new smile that opens doors personally and professionally.
Q: Can the All-on-Four procedure impact overall health beyond dental improvements?
A: Absolutely. Improved chewing and nutrition, along with boosted mental well-being, contribute to better overall health. Patients report feeling more energetic and engaged in daily life post-treatment.
Q: How do clinics in Antalya maintain high standards for UK patients?
A: Many clinics adhere to international accreditation standards, employ English-speaking staff, and use cutting-edge technology to ensure comfort, safety, and excellent outcomes.
Q: What advice do UK patients have for others considering All-on-Four implants abroad?
A: Research thoroughly, ask questions, and choose trusted clinics. Planning the trip with flexibility allows for a smooth treatment journey. Above all, focus on the end goal-a confident, life-changing smile.
To Wrap It Up
As these remarkable journeys illustrate, a single transformation can ripple through every facet of life-rekindling confidence, comfort, and connection. The stories of UK patients discovering their new smiles through All-on-Four implants in Antalya not only highlight the advancements in dental technology but also the profound human impact behind each procedure. For those contemplating a similar path, these narratives serve as both inspiration and reassurance: that beneath every smile lies a story of courage, renewal, and hope. In the end, it’s not just about implants-it’s about reclaiming the joy to smile freely again.